眉下切開症例008
六本木境クリニック監修 まぶたのたるみ専門メディア
クリニック案内
医師の紹介
アクセス
たるみの
施術一覧
ブログ
クリニック案内
医師の紹介
アクセス
たるみの
施術一覧
ブログ
CLOSE
※本サイトで提供しているすべての情報は、六本木境クリニック・境 隆博院長の見解によるものです。
六本木境クリニック監修 まぶたのたるみ専門メディア
»
まぶたのたるみ美容施術一覧
»
眉下切開
»
眉下切開症例008
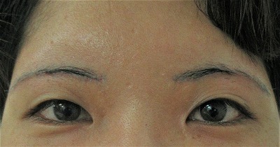
【〇歳女性】眉下切開症例008
Before
After
ダウンタイム:1週間~2週間程度。アイメイク以外は当日より可能。アイメイクは手術の翌日より可能。 リスク:比較的多いものとして内出血・腫れがある。筋肉・脂肪などを取る場合には痛みやしびれ・違和感などの神経症状が出る場合がある。筋肉・脂肪などをとらない場合には極めてまれ。 費用:450,000円※保険適用外 ■その他にかかる費用:お薬代約3,000円、初診料3,000円、採血検査代12,000円
前の記事
眉下切開
症例写真07
次の記事
眉下切開
症例写真09
六本木境クリニックの
眉下切開の治療について
Tweets by roppongi_sakai
Tweets by mabutanotarumi