眉下切開法(眉下リフト)とは、腫れぼったい目や加齢によって垂れ下がったまぶたを、引き上げる手術のこと。目元の厚みが軽減されるので、術後、すっきりとした印象に仕上がります。
施術を受けている中心的な年代は主に20代~60代と幅広く、上まぶたのたるみや厚みが気になる人には効果的な手術です。眉毛下のラインに沿うか眉毛に切り込んで切開し、縫合するため術後は傷跡が目立ちやすいですが、切開や縫合の方法に気をつけると、時間とともに目立ちにくくなります。年齢や性別を問わず、目元をスッキリさせたいほとんどの方に適応可能な手術と言えます。
たるみ治療ドクター
六本木境クリニック
境先生
六本木境クリニックの2012年~2021年12月7日までに1693症例と多く、他院で受けた眉下切開の修正手術も数多く手がけています。
「眉毛下皮膚切除630例の経験」(2018年4月/日本形成外科学会)、「眉毛下皮膚切除845例の経験から得られたデザイン」(2019年4月/日本美容外科学会)など、学会で眉下切開に特化した発表をしています。
境先生から補足

六本木境クリニック
境先生
上まぶたのたるみをとる施術として、よく間違えられたり比較されるのが「眼瞼下垂(がんけんかすい)」という施術。眼瞼下垂(切開)との違いについて解説します。
| 眉下切開 | 眼瞼下垂 |
|---|---|
| 特徴 | 特徴 |
| 眉毛のすぐ下か眉毛に切り込んだ部分を切開し、まぶたのたるみを引き上げます。 | 上まぶたのたるんだ皮膚を二重のあたりで切り取って縫います。 |
| 切開箇所 | 切開箇所 |
![]() |
![]() |
| メリット | メリット |
| ・自然な二重ラインを維持できる ・目元全体をすっきりできる |
・眼瞼下垂適応の場合、目を開ける範囲の改善が可能 |
| デメリット | デメリット |
| ・傷跡が気になる場合がある ・医師の技術差が出やすい ・不自然な引っ張り感が出る可能性 |
・二重の上側が分厚くなりやすい ・目尻のたるみは取り切れない ・びっくり目やハム目になりやすい |
境先生から補足

六本木境クリニック
境先生
一般的な眉下切開では眉頭を切らずに、眉尻のほうを多く切る方法がとられることがありますが、境先生の眉下切開は眉頭から目元全体のたるみを切除できるように施術を行います。
眉尻を中心にした眉下切開では、まぶたが外側に引っ張られて不自然な線が入ることがあるので要注意。
しかもこの不自然な線は目を閉じたときに現れやすいため、自分では気付きにくいものです。
「自分では気付いていないけど、周りのほとんどの人が不自然だと感じている線」というのは厄介な状態です。 眉下切開を検討する際には、切開範囲に眉頭が入るのかどうかもドクターに聞くようにしましょう。
せっかく眉下切開を受けたとしても、眉毛の下に沿って傷跡が残ってしまうのは困りもの。あるいは切開の影響で毛根が死んでしまって、眉毛から下に大きく外れた傷跡になってしまうこともあります。
そのようにならないためには、「毛包斜切断法」という切り込み方が効果的。あえて毛包(毛根)を切断するように眉毛の中に大胆な切り込みを入れ、その後、時間をかけて丁寧に縫合していくという手術法を、毛包斜切断法と言います。
境先生から補足

六本木境クリニック
境先生
縫合の仕方には、大きく分けて連続縫合と結節縫合(単結節縫合)の2種類があります。 まつり縫いのように1本の糸で傷口をぜんぶ閉じて両端だけ結ぶ方法が連続縫合で、1針ずつ丁寧に結んでいく方法が結節縫合です。
それぞれの方法にメリット・デメリットはありますが、少なくとも眉下切開の場合には結節縫合が大原則。なぜならば、眉下切開の傷跡を連続縫合で閉じた場合、傷跡が赤くなったり、赤みが落ち着くまでに時間がかかったりするからです。
最悪の場合、溝状の白くテカった傷跡が汚く残ってしまうこともあります。 忙しい美容外科医の中には時短を理由に眉下切開で連続方法を採用している医師もいるようなので注意してください。カウンセリングの際には、医師からきちんと縫合法も確認しておくべきでしょう。
皮膚縫合に溶ける糸を使ってしまうと、目立った傷跡が長く残る可能性が高いです。皮膚縫合ではなく、皮下縫合や真皮縫合などの中縫いに溶ける糸を使うことはできますが、その場合、どうしても溶けない糸よりも抗張力が弱くその持続期間が短いため、太い糸で強く縫うことになります。その結果、目の周辺にくぼみやデコボコが残りやすくなります。
境先生から補足

六本木境クリニック
境先生

六本木境クリニックで行っている
眉下切開手術の工夫とは?
眉下切開をはじめてから、特に傷あととまぶたの外側方向へのヒキツレについて工夫を重ねてきました。現在は安定して、同じ方法で眉下切開を行い続けています。
眉下切開(眉下リフト)の症例が多いため、他院で眉下切開を受けた方からの修正の相談もあります。患者さんからよくきかれるのは、「跡がキレイになるのか」です。こちらについては、自信を持って「できます」と答えられます。
傷跡をキレイに仕上げるための
毛包斜切断へのこだわり
眉下切開において大切にしていることは、患者さんやその周りの人が「その人の眉毛」だと感じる雰囲気に仕上げることがあります。
眉下切開はどれだけ眉毛に切り込んでも、毛根が死ぬため眉毛が抜けて白い線状瘢痕や溝となって目立ちます。毛が生えてくるために毛包斜切断という毛根をあえて斜めに毛包を切断・断裂させ、術後に傷跡から再発毛させる手術技法で眉下切開を行っています。
そのため、患者さんからは、「だんだん傷跡が見えなくなりました」と言われることが多いです。
通常30分程度の手術を
2時間かけて行う
毛包斜切断法は、傷跡から毛が生えるようにするたにめかなり極端に斜めに切ります。斜めに切れば切るほど、睫毛側の皮膚は眉毛側の分厚い皮膚の上に乗りあがりやすくなりますが、この対策のために睫毛側の薄い皮膚と眉毛側の分厚い皮膚の比率に気を付けて縫います。
また、睫毛側の皮膚は薄くてペラペラなので、皮膚がクルっと内側に巻き込まれて、アテロームやミリウムと言ってニキビ状のできものができてしまいます。この対策としてはエバートと言って、皮膚をわずかに翻転させながら縫わないとなりません。ローテーションフラップ(回転皮弁)と言って、眉頭側ほど内側に移動させるようにして縫います。
通常30分程度と言われている同手術を、六本木境クリニックでは2時間もかけて行っている理由が、ここにあるのです。
眉下切開の傷跡について特に強いこだわりと自信を持っています。眉下切開後の傷あとが自分でも気にならないと言われることが多く、傷跡どころか、キズでも他人からバレたと言われることは非常にまれです。
眉下切開でもっともよくある失敗が、上まぶたの内側から外側に向けた不自然な、ひきつれのような線ができることです。
眉頭を切開せずに眉の外側のほうだけを切開すると、この不自然な線が入ることがあります。
眉下から離れたところに傷口が生じ、その傷口が白くテカった状態で長く残ることがあります。化粧で隠してもテカりが消えないこともしばしば。
失敗と考えるかどうかは人それぞれですが、そもそもダウンタイムが長いことは問題だと考えます。 長くとも術後1週間程度で、コンシーラーなどで違和感なく隠せる状態になるのが普通です。1ヶ月も2ヶ月も内出血が残る状態となってしまっていたら、速やかに医療機関に相談をしてください。
慣れないドクターが施術すると、目の開きなど左右差が生じることがあります。左右差は人間誰しもあるものですが、本来は眉下切開の切除幅や縫い方で調整できるものです。
術後の内出血や腫れは比較的多く見られます。また六本木境クリニックでも、眉下切開を受けた人の約2割程度において、内出血や腫れの症状が著しくなることがあるそうです。
ごくまれに、一時的な知覚麻痺や痛み、しびれ、違和感が生じることもあります。
そして、もろもろのリスクについては眼輪筋・ROOF(ルーフ)・眼窩脂肪など深部組織を取れば取るほど可能性が高くなります。
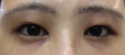
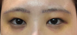
実際に眉下切開を受けた20代女性のダウンタイムを紹介します。
ダウンタイムには個人差がありますので、参考にしてみてください。
術前
術後
1日目
2日目
3日目
4日目
5日目
6日目
7日目
抜糸後
境先生から補足

六本木境クリニック
境先生
※術式やドクターによって術後の過ごし方は変わります。施術したドクターの指示に必ず従ってください。
最近の形成外科医は、術後の傷口に絆創膏やガーゼを貼らないことが多いです。
傷口がぴったりと合った縫合部分に、創傷被覆材やキズパワーパッドは必要ありません。
抜糸が早いことによる弊害は多々ありますが、抜糸が遅いことによる弊害はほとんどありません。眉下切開の場合、術後10日~2週間くらいで抜糸するのが良いと考えます。
溶けない糸で真皮縫合や眼輪筋の折り畳み縫いなど中縫いを丁寧に行えば、マイクロポアなどのテープは必要ありません。
リザベン(トラニラスト)は肥厚性瘢痕の薬です。丁寧な手術が行われていれば眉下切開の術後に、肥厚性瘢痕の薬は必要ありません。
塗っても問題はありませんし、汚い傷跡に塗れば傷口がきれいになります。でも、きれいな傷跡に塗ってもほとんど効果はないと考えられます。
| 施術方法 | 料金(税込・麻酔代込) | |
|---|---|---|
| 眉下切開 | まぶたの手術を受けたことがない方 | 50万円 |
| 埋没や切らない眼瞼下垂後・下眼瞼脱脂後の眉下切開 | 50・55・60万円★ | |
| 二重切開後・眼瞼下垂後の眉下切開 | 50・55・60万円★ | |
| 他院修正(両側) | 60万円 | |
| 2回目 | 50万円 | |
| 薬代 | 3,000円 |
※費用は2025年12月の情報です
眉毛の毛包(毛を取り囲む組織)を斜めに切断し、術後、切断した傷口から眉毛を再発毛させる手術技法のこと。眉毛の中を切開し、切開部分から眉毛が再生することになるので、術後ほどなく傷口は目立たなくなります。
体の表面近くにできる皮下腫瘍の一種。打撲や外傷などに生じることがあります。自然に消滅することもありますが、通常は治療が必要です。二重埋没法やアイプチなど、目周りへの負担が原因でシストが生じることもあります。
皮膚を切除してから縫い合わせた後、傷の両端に現れる膨らみのことをドッグイヤーと言います。症状がひどい場合には修正手術を行うこともありますが、一般には誰にも気付かれることはないので対処する必要もありません。
皮膚は、表面から順に「表皮」「真皮」「皮下組織」の三層に分かれますが、これらのうち「真皮」を縫い合わせることを真皮縫合と言います。通常、傷跡を目立ちにくくするために行います。
何らかの理由で傷の治りが遅くなったとき、皮膚が赤くなったり盛り上がったり、痛みや痒みを生じたりする症状のこと。皮膚を作る繊維細胞が過剰に生成されてしまうことが直接的な原因です。
眼の周囲を覆うように存在している表情筋の一種。主に、眼を閉じる動作において働いている筋肉です。
眉毛の下のあたり眼輪筋の奥にある脂肪組織のこと。
※パニック障害など精神疾患や膠原病・腎不全など重度内科疾患の手術はお断りすることがあります。
月・火・木・金 11:00~18:00
土・日・祝祭日 10:00~17:00
水曜日は休診日となります。